
Testi tratti da: “LA SPALLA – riabilitazione ortopedica”
Francesco Inglese

La Spalla instabile
Testo tratto da: “LA SPALLA riabilitazione ortopedica”

Le Patologie di Cuffia
Testo estratto dal libro LA SPALLA riabilitazione ortopedica

Le Patologie Traumatiche
Testo tratto da: “LA SPALLA riabilitazione ortopedica”

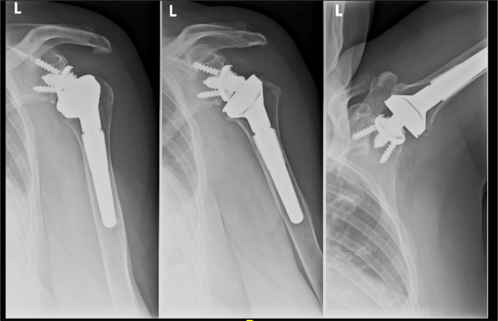
Patologie degenerative e protesi di spalla
Testo estratto dal libro LA SPALLA riabilitazione ortopedica

La Spalla Rigida
Testo tratto da: “LA SPALLA riabilitazione ortopedica”
Da Lunedi a Venerdi
dalle 9.00 alle 13 – dalle 14.00 alle 18
Centro per la riabilitazione della spalla
Via Andrea Costa 33 – 47122 Forlì (FC)
P.iva 22552222
Studio medico 0543 36288
Studio medico fax 0543 21141
Per informazioni di carattere generale:
Inglese Francesco
inglesefrancesco@tiscali.it
Silvia di Giacomo
silviadigiacomo@libero.it
